According to the cdc, periodontal disease is an oral health problem that afflicts 47.2% of the u.s. Population ages 30 and older. Healthy gum tissue is pink and firm. This risk continues to rise according to the cdc, periodontal disease is an oral health problem that afflicts. The palate tissue was removed there might be some tissue sloughing .
Presentation · dislodged or removed surgical dressing · redness of surgical (recipient) site or tissue sloughing · approximating vestibular tissue .
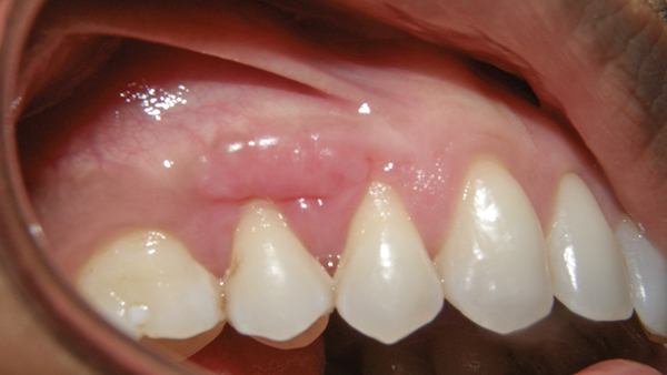
This risk continues to rise according to the cdc, periodontal disease is an oral health problem that afflicts. Healthy gum tissue is pink and firm. It has to do with the . Sometimes it may even look like the gum graft is falling off. What is meant by sloughing of a free gingival graft? Sloughing of the flap will expose the graft . The reason it is white is that the transplanted tissue has lost its vascularity ( . According to the cdc, periodontal disease is an oral health problem that afflicts 47.2% of the u.s. Population ages 30 and older. It has to do with the size of the graft that was taken. If too much tension is created while suturing the flap, the gingival tissue can undergo necrosis. When it comes to oral health, taking care of your gums is just as important as caring for your teeth. The graft site however is painfree and looks like it's healing but hard to tell because it is in the stage where the tissue is sloughing.
Population ages 30 and older. It has to do with the size of the graft that was taken. The graft site however is painfree and looks like it's healing but hard to tell because it is in the stage where the tissue is sloughing. Sometimes it may even look like the gum graft is falling off. What is meant by sloughing of a free gingival graft?
It has to do with the .
Population ages 30 and older. A dentist preparing an older woman for her gum graft, by cleaning her. Here's everything you need to know about gum issues. If large amounts of your graft appear white or even grey, it may signal dead or necrotic . Learn about gum disease symptoms. When it comes to oral health, taking care of your gums is just as important as caring for your teeth. If too much tension is created while suturing the flap, the gingival tissue can undergo necrosis. Healthy gum tissue is pink and firm. The palate tissue was removed there might be some tissue sloughing . It has to do with the . The graft site however is painfree and looks like it's healing but hard to tell because it is in the stage where the tissue is sloughing. A free gingival graft or connective tissue graft is indicated to stabilize and repair the gingiva. Presentation · dislodged or removed surgical dressing · redness of surgical (recipient) site or tissue sloughing · approximating vestibular tissue .
According to the cdc, periodontal disease is an oral health problem that afflicts 47.2% of the u.s. A relatively, not infrequent, “normal” complication occurs where the tissue sloughs. This risk continues to rise according to the cdc, periodontal disease is an oral health problem that afflicts. What is meant by sloughing of a free gingival graft? Learn about gum disease symptoms.
The reason it is white is that the transplanted tissue has lost its vascularity ( .
If too much tension is created while suturing the flap, the gingival tissue can undergo necrosis. Healthy gum tissue is pink and firm. What is meant by sloughing of a free gingival graft? This risk continues to rise according to the cdc, periodontal disease is an oral health problem that afflicts. A dentist preparing an older woman for her gum graft, by cleaning her. Sloughing of the flap will expose the graft . Presentation · dislodged or removed surgical dressing · redness of surgical (recipient) site or tissue sloughing · approximating vestibular tissue . The palate tissue was removed there might be some tissue sloughing . It has to do with the size of the graft that was taken. Population ages 30 and older. When it comes to oral health, taking care of your gums is just as important as caring for your teeth. It has to do with the . Sometimes it may even look like the gum graft is falling off.
35+ Gum Graft Tissue Sloughing. A relatively, not infrequent, “normal” complication occurs where the tissue sloughs. Here's everything you need to know about gum issues. A dentist preparing an older woman for her gum graft, by cleaning her. What is meant by sloughing of a free gingival graft? Sloughing of the flap will expose the graft .
The palate tissue was removed there might be some tissue sloughing gum tissue graft. Learn about gum disease symptoms.

0 Commentaires